Por: Agencias

Foto: cortesía 

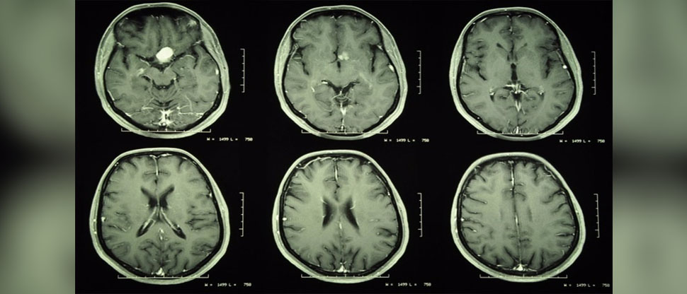
Un estudio publicado por el British Medical Journal reveló un grave riesgo para las mujeres que utilizan medicamentos con progesterona.

El artículo, retomado por Spectator, revela que el uso de este tipo de medicamentos en las mujeres incrementa el riesgo de padecer tumores cerebrales meningiomas.

El uso de la progesterona es popular en medicamentos que son empleados como anticonceptivos o para tratar afecciones ginecológicas.

El aumento del riesgo se observó en mayor medida en pacientes que emplearon este tipo de anticonceptivos y medicamentos por tiempo prolongado. 

El revelador estudio fue publicado el pasado 28 de marzo por la revista British Medical Journal.

elblog

San Salvador, El Salvador

Redacción

Ventas